Urgencias Dentales en Curicó
¿Tienes una urgencia dental? O un accidente?, contáctanos tenemos tecnología avanzada para un tratamiento de calidad
Horario de Atención
Lunes a Viernes
10:00 - 14:00 hrs. 15:30 - 20.30 hrs.
Reserva una hora
Comunicate con nosotros
dentalcurico@gmail.com
75-2320950 | +569 9824 9788
Dirección:
Carmen #747 Oficina 11 Ed. Luis Cruz Martínez - Curicó
¿Tienes una urgencia Dental?
Urgencia Dental en Curicó
Ahora en Curicó las urgencias son atendidas por profesionales del área dental con excelentes instalaciones y precios competitivos.
Si necesitas asistencia dental te invitamos a seguir 1 simple paso:
Presiona el botón rojo que te llevara directo al WHATSAPP, aquí coordinaremos tu atención.
Recuerda: se responsable usando el canal de urgencias, tenemos horarios especiales para atenciones cotidianas
¿Tienes una urgencia Dental?
Tratamientos
Obturaciones Estéticas y Amalgam
Coronas Dentales
Extracciones
Urgencias Dentales
Limpieza Dental
Prótesis Removible Metálicas y Acrílicas
Extracciones de Tercer Molar
Pròtesis Valplast sin ganchos
Sellantes y Fluoración
Incrustaciones
Blanqueamiento Dental
Tratamientos de Conducto
Pròtesis Fija
Planos de Relajación
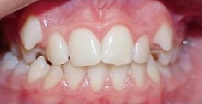
Especialidad que se encarga de la corrección de los dientes
Ortodoncia
Es la especialidad que se encarga de la corrección de los dientes y huesos posicionados incorrectamente. Los dientes en mala posición y los que no muerden correctamente unos contra otro son difíciles de mantener limpios, corren riesgos de pérdida precoz debido a caries y enfermedades periodontales, y ocasionan una tensión extra sobre los músculos de la masticación que puede generar dolores de cabeza, dolores en el cuello, hombros y espalda. Además, los dientes girados o posicionados incorrectamente tienen una mala apariencia estética.
Los tratamientos ortodóncicos tienen la ventaja de proporcionarnos una boca sana, una sonrisa de aspecto agradable y dientes con mayores posibilidades de durar toda la vida. Actualmente la ortodoncia se usa tanto en niños como en adultos (casi sin límite de edad), logrando excelentes resultados.
Especialidad que se encarga de la corrección de los dientes
Ortodoncia lingual
El tratamiento de Ortodoncia lingual consiste en utilizar los brackets o frenillos linguales para realizar las correcciones de posición dentarias, los cuales han sido diseñados especialmente para ir ubicados en la parte posterior o de atrás de los dientes. Es una técnica que permite la mayor estética dental en ortodoncia ya que los brackets no se visualizan desde afuera por otra persona. Es también conocida como Ortodoncia invisible.
Antes
despues
Consiste en la colocación de uno o varios tornillos de titanio dentro del hueso
IMPLANTES
La Implantología consiste en la colocación de uno o varios tornillos de titanio dentro del hueso. Estos tornillos simulan las raíces de él o los dientes perdidos. Posteriormente sobre los tornillos se conectan las coronas de los dientes perdidos. También se pueden conectar prótesis removibles y transformarlas en prótesis implantoretenidas lo que permite una excelente funcionalidad.
¿Tienes una urgencia Dental?
Contáctanos
¿Tienes una urgencia Dental?
Habla con nosotros
¿Tienes dudas? Puedes contactar a nuestro staff y resolver cualquier duda que tengas y si tienes una urgencia te invitamos a presionar botón WhatsApp
-
Teléfono:
75 2 - 320950 / +569 9824 9788 -
Dirección:
Carmen #747 Oficina 11 Ed. Luis Cruz Martínez
